Bronquiolite obliterante pode surgir após inalação prolongada de diacetil, substância usada para dar sabor artificial de manteiga. Condição é irreversível e já foi identificada em usuários de cigarros eletrônicos.
O termo “pulmão de pipoca” pode soar estranho à primeira vista, mas se refere a uma condição pulmonar grave e irreversível conhecida cientificamente como bronquiolite obliterante. A doença ganhou esse nome popular após casos registrados entre trabalhadores de fábricas de pipoca para micro-ondas, nos Estados Unidos, expostos ao vapor de um aromatizante com sabor de manteiga chamado diacetil.
Desde então, o alerta foi ampliado para outras áreas: o diacetil também está presente em alguns cigarros eletrônicos com sabores, especialmente os mais consumidos por jovens, como baunilha, caramelo e frutas.
O que é o pulmão de pipoca?
O pulmão de pipoca é uma forma rara de bronquiolite, que provoca inflamação e formação de cicatrizes nos bronquíolos, pequenos tubos que transportam o ar dentro dos pulmões. Com o tempo, essas cicatrizes dificultam a passagem do ar, reduzindo drasticamente a capacidade respiratória.
A principal causa conhecida da bronquiolite obliterante é a inalação crônica de substâncias tóxicas, como o diacetil. Embora o composto seja seguro para ingestão (em alimentos industrializados), a inalação direta dele pode ser altamente prejudicial à saúde pulmonar.
Principais sintomas da doença
Os sinais da bronquiolite obliterante costumam aparecer de forma gradual. Entre os principais sintomas estão:
-
Tosse seca persistente
-
Falta de ar, mesmo com esforço leve
-
Chiado no peito
-
Fadiga constante
-
Redução progressiva da capacidade pulmonar
A doença é irreversível, e os tratamentos disponíveis apenas aliviam os sintomas ou tentam desacelerar sua progressão. Em casos graves, pode ser necessário o uso contínuo de oxigênio ou até transplante pulmonar.
Cigarros eletrônicos aumentam o risco?
Sim. Diversos estudos internacionais apontam que líquidos usados em vapes com sabores contêm diacetil e outras substâncias voláteis perigosas. Um levantamento da revista Environmental Health Perspectives detectou a presença de diacetil em 75% das amostras analisadas de e-cigs aromatizados.
Isso significa que usuários frequentes de cigarros eletrônicos podem estar inalando quantidades significativas do composto, sem saber dos riscos. A situação preocupa autoridades sanitárias e reforça os alertas sobre os perigos do uso desses dispositivos, especialmente entre jovens.
Diagnóstico e prevenção
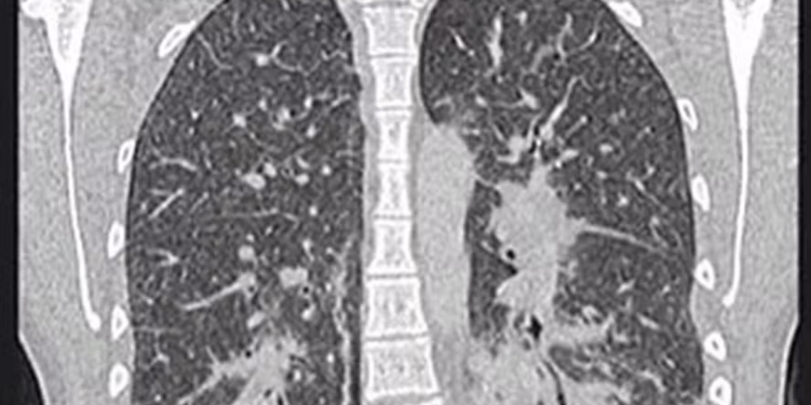
O diagnóstico do “pulmão de pipoca” é clínico e envolve exames como tomografia de tórax e espirometria. Como a doença pode ser confundida com asma ou DPOC (Doença Pulmonar Obstrutiva Crônica), é comum haver atraso no diagnóstico.
A principal forma de prevenção é evitar a exposição prolongada ao diacetil, seja em ambientes de trabalho ou por meio de dispositivos de inalação como vapes. No Brasil, o uso da substância como aromatizante é regulado, e os cigarros eletrônicos têm venda proibida pela Anvisa, embora continuem sendo comercializados ilegalmente.



